
永久歯に生えそろった方を対象とするのが成人矯正で、「2期治療」ともいわれます。近年、治療技術の進歩により、矯正治療に年齢は関係なくなり、患者様のライフスタイルに合わせてさまざまな治療法が選択できるようになりました。
Medical

永久歯に生えそろった方を対象とするのが成人矯正で、「2期治療」ともいわれます。近年、治療技術の進歩により、矯正治療に年齢は関係なくなり、患者様のライフスタイルに合わせてさまざまな治療法が選択できるようになりました。

基本的に大人の矯正への移行を考慮し、永久歯列になるまでに出来る範囲の治療を行うことを目的としています。
子どもの場合、一般的にブラッシングはあまり上手とは言えません。
患者様の口腔内や目的、性格に合わせて取り外しができる装置や固定式の装置をご提案させていただきます。
成長期の子どもを対象にしていますので、正常な成長を阻害する要因になるものは取り除き、骨の成長をコントロールする必要があります。
場合によっては、成長を促進したり、抑制する装置もあります。
以下のことに該当すれば低年齢から矯正治療を開始します。
・悪習慣が不正咬合の原因である場合
・現在の不正咬合が今後の発育に悪影響を及ぼす場合
・顎の成長のコントロールが必要な場合
子供の矯正だけで矯正治療を終了出来ることはほとんどありません。
なぜかというと、その後の顎の成長が残っている場合、歯並びが安定するとは限らないからです。


S(Sella:蝶形骨トルコ鞍の壺状型陰影像の中心点で変化しない基準点)
N(Nasion:鼻骨前頭縫合の最前点で成長により変化する)
A(上顎骨の基準点で成長により変化する)
B(下顎骨の基準点で成長により変化する)
頭部と顎の成長発育を見ますと・・・
頭の大きさは、10才までに全成長量の96%が完成していますが、顎の発育は10才の時点で上顎、下顎共に約35%残っています。
つまり10才以降の成長発育が矯正治療の結果に大きく影響します。
従って、矯正治療の開始時期は早いほうが良いと一概に言うことは出来ません。
また、不正咬合の状態によっては、成長がほぼなくなった時点から開始したほうが良い場合もあります。
実際に成長をコントロールする装置としては以下のものが代表的です。
1.成長を促すことを目的とする装置
ヘッドギア |
上顎前方牽引装置 |
BJA |
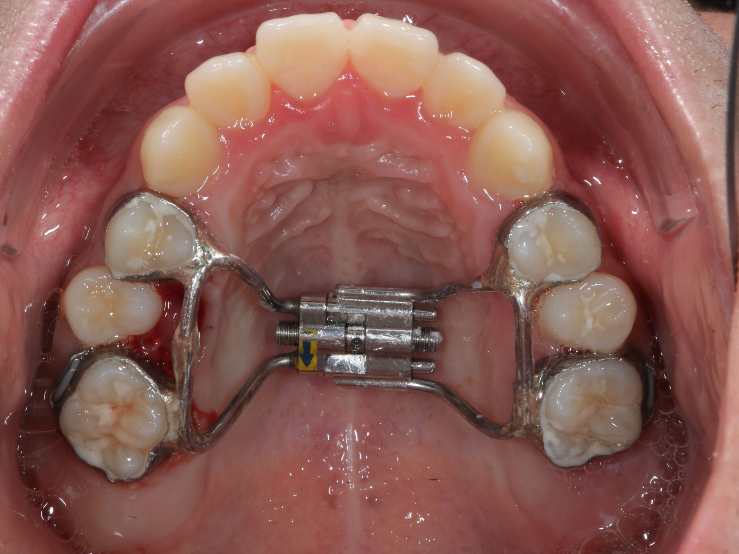
急速拡大装置
|
2.歯列の改善を目的とする装置
ペンデュラム |
ディスタルジェット |
3.悪習癖の改善を目的とする装置
タングスパー |
当院では1期治療、2期治療と分けることなく、混合歯列から開始された場合もすべて永久歯に生え変わったあとの歯並びをきれいにするまでトータルの治療をさせていただきます。
子どものうちから矯正をしていただくことで、大人の矯正治療が歯を抜く矯正治療になるか、歯を抜かない矯正治療になるかなど、選択肢を広げることが可能になります。